Дентална практика
Д-р Константинов

За нас

Д-р Константинов завършва висшето си образование в Медицински университет - Пловдив през 2009 г. и в същата година започва да практикува в Монтана.
Той специализира в областта на ортодонтията и естетичната стоматология, като непрекъснато повишава квалификацията си чрез множество курсове в страната и чужбина.
През 2019 г. Д-р Константинов и Д-р Генева основават "Превадент" - семейна дентална практика с фокус върху предоставянето на отлични грижи за зъбното и цялостно здраве на пациентите си.
Практиката е новатор в региона с постоянното имплементиране на съвременни техники и апаратура засягащи денталното здраве.
Услуги

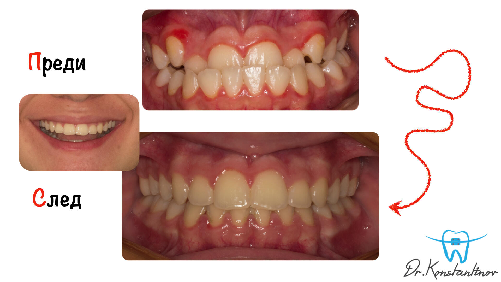
Ортодонтско лечение с брекети

Ортодонтско лечение с лингвална пластинка

Ортодонтско лечение с алайнери

Работа под микроскоп:
- лечение на кариеси
- поставяне на корони, мостове и фасети
Вземане на отпечатъци (мерки) от зъбите с Интраорален скенер

Професионално полиране на зъбите с AquaCare

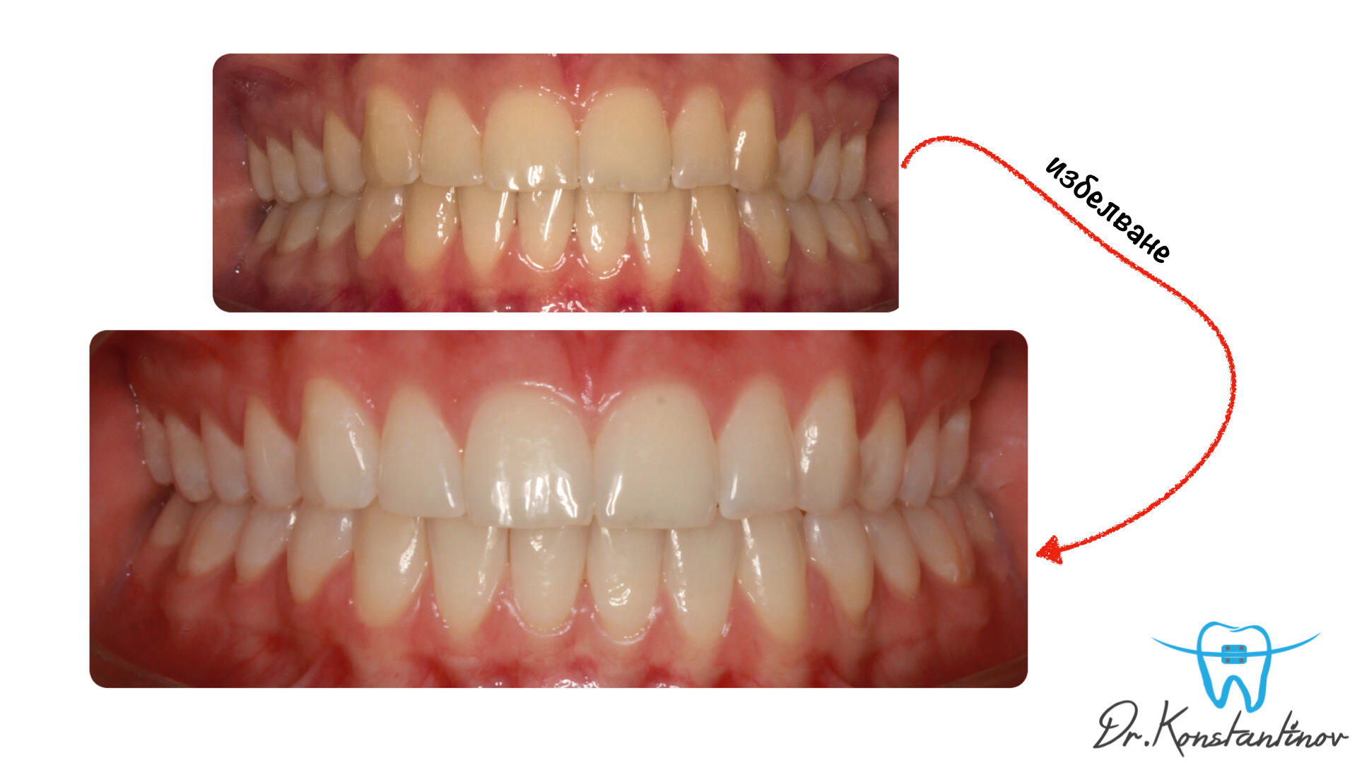
Избелване
Галерия










Контакти
Работно Време
Понеделник - 14:00 - 19:00
Вторник - 8:30 - 13:00
Сряда - 14:00 - 19:00
Четвъртък - 8:30 - 13:00
Петък - 14:00 - 19:00
Събота - почивен ден
Неделя - почивен ден
Адрес
ул. „Цар Борис III-ти“ 22
Монтана, България
(сградата на бившето АПК)
0887 365 669
facebook
email
